更新时间: 2023/07/21 浏览数: 2280

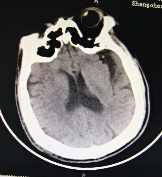
近日,55岁的冯先生突发急性脑梗死,我院卒中中心启动绿色通道,给予静脉溶栓桥接取栓治疗,成功打通堵塞的“生命管道”,患者转危为安,术后恢复良好,避免了“一人中风,全家瘫痪”的悲剧。

冯先生的成功救治,是静脉溶栓桥接动脉取栓治疗的完美结合。这次抢救工作的完美收官依靠的绝不仅仅是个人能力,它是整个团队共同努力的结果,检验了我院卒中中心对于脑卒中患者的快速鉴别诊断及多学科协作救治能力。我院卒中中心就是这样一支这样技术精湛、素质过硬的团队,在卒中介入治疗领域已经具备较强的综合实力,他们始终秉持着时间就是大脑、时间就是生命的理念,不断优化卒中急救模式和流程,为保障大别山区卒中患者能够得到及时、规范、有效的救治,降低县域卒中死亡率、致残率而不懈努力,为助力全面建设健康中国贡献自己的力量。
提醒广大市民,当家中有人出现言语不清,肢体无力时,一定要第一时间拨打“120”,避免错过有效的黄金救治时间,造成终生遗憾。
健康就诊地址:
门诊二楼神经内科诊室
健康咨询电话:
0376—7973079
0376—7973139
版权所有:Copyrights © 2020 www.scxyy.cn All Rights Reserved 商城县人民医院
ICP备案号:豫ICP备19025937号-1 豫公网安备41048202000000号
技术支持:河南微监