更新时间: 2021/11/08 浏览数: 3499
10月25日,商城县人民医院胸外科团队成功开展了全县首例人工气胸胸腔镜下纵膈肿瘤切除术,术后病理结果显示为胸腺瘤。该项手术的顺利开展标志着我院胸外科的微创技术再上新的台阶,为更好地保障家乡人民群众身体健康打下了坚实的技术基础。



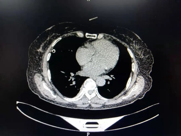
患者陈女士,59岁,因右侧胸背部疼痛半个月来我院就诊,经检查,胸部Ct结果显示:T8椎体旁紧贴胸膜处占位病变,且气管有先天畸形改变。陈女士既往有冠心病、高血压病和甲亢病史,家庭贫困。考虑其家庭状况,经充分术前评估,主管医生葛庆升详细告知陈女士病情及诊疗方案后,陈女士及其家属反复思量要求在家乡医院进行手术治疗。在郑州大学第二附属医院苏彦河教授的技术指导下,胸外科团队制定了周密的诊疗方案,因无法为陈女士完成单肺呼吸麻醉,经麻醉科会诊后,决定对其施行人工气胸胸右侧胸腔镜下纵膈肿瘤切除术,人工制造气胸,在纵膈中自下向上极度精准的操作,切除肿瘤。手术过程十分顺利,术中几乎无出血,术后患者恢复良好,现已康复出院。
![]() ![]() | ||
![]() ![]() (术前CT) | ||
![]() ![]() (术后CT) | ||
纵膈肿瘤是胸外科手术中风险极高、难度极大的手术,其传统手术方式需劈开胸骨,手术创伤大,恢复慢,使用胸腔镜手术完全实现了微创化,手术切口仅3-4cm,具有创伤小、出血少、损伤小、恢复快、住院时间短、术后并发症发生率低等优点,极大减轻患者痛苦,造福广大患者。
近年来,微创、精准、快速康复等外科理念深入人心,最大限度切除病灶并尽可能减少手术创伤是每位外科医生不懈的追求。本次胸腔镜下纵隔肿瘤切除术的成功开展填补了我县该手术领域的空白,进一步突破了我院胸外科关于单切口、多元化的诊疗技术,是我院在微创手术探索道路上迈出的坚实一步。


健康就诊地址:住院部八楼胸外科
健康咨询电话:0376——7973153
版权所有:Copyrights © 2020 www.scxyy.cn All Rights Reserved 商城县人民医院
ICP备案号:豫ICP备19025937号-1 豫公网安备41048202000000号
技术支持:河南微监